Our office is dedicated to putting patient and community safety as our number one priority.
Click here
to read about our safety precautions.
Ross Allen, DDS
Schedule an appointment
Like us on Facebook
Leave a Google Review
(405) 686-7970
Menu
Call
Book Now
Map
Home
About Us
Our Team
Technology
Office Pictures
Services
View All
Children's Dentistry
Dental Crowns and Bridges
Dental Implants
Dentures
Emergency Services
General Dentistry
Preventative Dentistry
Root Canal Treatment
Tooth-Colored Fillings
Tooth Extractions
Smile Gallery
Patient Info
View Patient Info
Forms
Blog
FAQs
View All
Other
Children's Dentistry
Dental Crowns and Bridges
General Dentistry
Root Canal Treatment
Tooth Extractions
Financing and Insurance
Contact
Ross Allen, DDS
>
Smile Gallery
Smile Gallery
Below are just a few examples of before & after cases illustrating our work
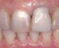
Before
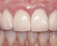
After
Invisalign
Read More
Before
After
Before
Fillings
Read More
Before
After
Root Canals
Read More
Before
After
Crowns
Read More
Before
After
Bridge
Read More
Before
After
Tooth Whitening
Read More
Improve your smile today – call to schedule a consultation!
Claim Now!
Smile Gallery Categories
If you have difficulty using our website, please
email us
or call us at
(405) 686-7970
View the
ADA Accessibility Statement
Turn on ADA Views
Privacy Policy
OK!
×
×
Contact Us Today
Give Us A Call
Ross Allen, DDS -
(405) 686-7970
Send Us an Email
Request an Appointment
Contact Us
Ready to Schedule an Appointment?
Book Online
Have Questions? Contact Us:
Required Field
Your Name:
Phone:
Email Address:
Are you a new patient?:
Are you a?
New Patient
Current Patient
How would you like us to contact you?
Please choose
Email
Call
How did you hear about us?
Please choose
I'm an existing patient
Google/Bing
Mailer
Word of mouth
Social media
Other
Who Referred You?:
Appointment Preferences
Monday
Tuesday
Wednesday
Thursday
Your Message:
This site is protected by reCAPTCHA and the Google
Privacy Policy
and
Terms of Service
apply.
Sending...
×
This Patient's Experience
Loading Testimonial...
Loading Case...